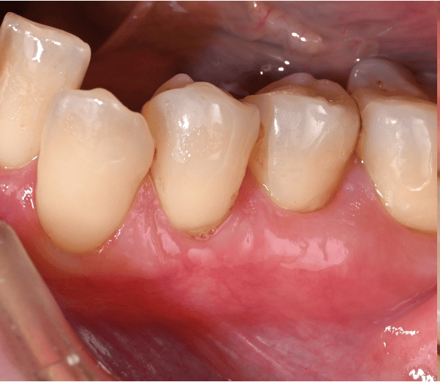
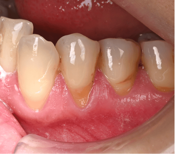
歯肉退縮治療例 治療例1: 40代 女性 ・歯茎が下がってきて、歯が染みてきた 治療前 治療後2年 治療期間 3ヶ月 治療費 5万/1本 (税別) 主な治療内容と概要 根面被覆術(結合組織移植術+歯肉弁歯冠側移動術) 左上の犬歯が伸びてきて染みるということで当院に来院されました。虫歯などはなく、歯茎が下がったことにより根の表面が露出し、知覚過敏の症状がでていました。知覚過敏の改善にはいくつかの方法がありますが、今回は見た目の改善などの患者さんの希望のため、歯肉を移植し、根を覆う処置を行いました。術後から染みの症状はなくなり、歯茎の位置も改善して満足されております。 考えられるリスク・副作用・注意点等 術後の歯肉退縮の再発予防のために決められた指導を守り、継続的なメインテナンスが必要 術後の痛みや腫れなどの症状がでることがあります。(基本的には鎮痛剤の服用などでおさまります) 治療例2: 60代 女性 ・歯ブラシをすると歯茎が痛くて出血する 治療前 犬歯の歯茎だけが大きく下がってしまい、歯の表面が虫歯になりかけている。 治療後1年 歯肉の位置は隣の歯と同様の高さに落ち着き、歯ブラシがしやすい形態に変化した。 治療期間 3ヶ月 治療費 8万/1本 主な治療内容と概要 根面被覆術(歯肉弁側方移動術+結合組織移植術+遊離歯肉移植術) 前歯の一本だけ歯茎が下がってしまい、歯ブラシがしにくい状態になっておりました。そのため、歯茎の炎症と根が一部虫歯に也変えており、今後更に歯茎が下がっていくことが予想されました。組織を移植し、根を覆う処置を行いました。また、硬い歯肉(角化歯肉)が少ないばあい、再発リスクが高くなるため、2回目の手術で硬い歯肉を移植することで、予後が良い状態に改善いたしました。歯肉のラインが横の歯とそろったことで歯ブラシがしやすくなり、現在も良い状態で維持されています。 考えられるリスク・副作用・注意点等 術後の歯肉退縮の再発予防のために決められた指導を守り、継続的なメインテナンスが必要 術後の痛みや腫れなどの症状がでることがあります。(基本的には鎮痛剤の服用などでおさまります) 治療例3: 30代 女性 ・これ以上歯茎が下がるのが不安 治療前 複数の歯の歯茎が下がってしまい、見た目や歯ブラシに影響がでている 治療後5年 歯茎の下がりが改善し、長期的に安定している。 治療期間 3ヶ月 治療費 13万/3本 (止血材込み) 主な治療内容と概要 根面被覆術(トンネリング法+結合組織移植術) 全体的に歯ブラシがお上手でしたが、年齢にしては歯茎が下がってしまい、見た目やブラシング時に不安を感じて来院されました。患者様は今後さらに下がることを恐れており、今回の手術を希望されました。複数歯の歯肉退縮のため、トンネリング法という方法で歯肉の下がりを改善しました。治療後5年たった現在も問題なく不安が解消されたと喜んでおられます。 考えられるリスク・副作用・注意点等 術後の歯肉退縮の再発予防のために決められた指導を守り、継続的なメインテナンスが必要 術後の痛みや腫れなどの症状がでることがあります。(基本的には鎮痛剤の服用などでおさまります) 当院では、歯周病専門医による歯肉退縮(歯茎の下がり)を回復する治療を行っております。 歯茎の位置を元に戻すことで、様々な不具合を改善することができます。また、歯肉を移植する方法を多くとりますが、歯肉を移植することで歯肉の厚みが保たれ、将来的に歯茎が下がることを予防することができます。 矯正治療などにより歯茎が下がった、また歯茎がすでに下がっており、矯正治療できないと言われたなど矯正治療に伴う歯肉退縮改善治療も多く行っています。ご紹介していただく場合は、担当の先生と矯正の開始時期等についてもご相談し、最適な時期に行うことができます。 もしご質問や治療ご希望の患者様はご予約の際に受付にお申し付けください。 歯科鈴木医院 (板橋区桜川 東武鉄道東上本線上板橋から徒歩7分) 2020.12.18 実際の治療例 治療例 本ページでは、当院での実際の治療例を示しております。 各治療例で紹介している治療による結果は個人差があり、治療効果を保証するものではありません。また、起こりうるリスクや副作用等を十分に理解し、担当医と相談して選択し… 2023.05.11 歯周病治療 治療例 歯周病治療例 治療例1: 40代 男性 ・歯医者が怖くてずっと行けていなかった。 ・歯が揺れてきて噛めない ・血が出るので歯ブラシが怖くてできない 治療前 … 2018.06.10 歯周病治療 トップページ 〉診療案内〉歯周病治療 歯周病認定医・専門医とは 歯周組織再生療法 歯周病とは? あなたは以下の項目のどれか当てはまることがありますか? ・朝起きたとき、口の中がネバネバする。 ・ブラッシング時に出…