インプラント治療について
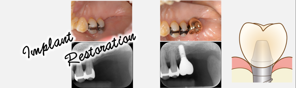
トップページ 〉診療案内〉インプラント治療とは? 当院におけるインプラント治療について インプラント無料相談 インプラントとは インプラントとは、体内に埋め込む医療機器や材料の総称をいいます。心臓のペー … 続きを読む インプラント治療について
埋め込むにはこの URL をコピーして WordPress サイトに貼り付けてください
埋め込むにはこのコードをコピーしてサイトに貼り付けてください