セラミック治療例
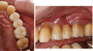
セラミック治療例 治療例1: 20代 男性 ・歯を白くしたい 治療前 治療後 治療期間 2ヶ月 治療費 セラミックインレー ¥55,000×4本 + CR充填 ¥44,000 2022年時 主な治療内容と概要 セラミック … 続きを読む セラミック治療例
埋め込むにはこの URL をコピーして WordPress サイトに貼り付けてください
埋め込むにはこのコードをコピーしてサイトに貼り付けてください